大阪梅田のインプラント歯周病専門歯科 SPIDO(スピード)
オンラインサロンとは 会員制のオンライン上のグループです。特に決まった形式があるわけではなく、それぞ ...
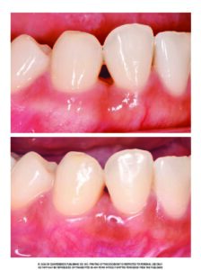
矯正治療の後や歯肉炎の後に、歯と歯の間にポッカリと空いてしまう「黒い三角形のすき間」。これを専門用語 ...
どこでインプラント治療を受けても一緒? 日本全国に歯科医院はたくさんあり、どこで治療を受けたらよいの ...
日本初の欧米と同基準の 歯周病および インプラントの 専門治療をお届けします